
Tuberkulózis — mi ez? Fertőző (képes terjedni egy fertőzött személy egy egészséges) által okozott betegség egy adott kórokozó baktérium a nemzetség Mycobacterium. A XVII — XVIII században, abban az időszakban, az urbanizáció, valamint a gyors fejlődés, az ipari, a tuberkulózis szerzett Európában a járvány. 1650-ben, 20% – a halálesetek lakosok England and Wales volt köszönhető, hogy a tuberkulózis.
Összhangban az információt, hogy ki, körülbelül 2 milliárd ember, a harmadik a teljes népesség, fertőzött TBC. Jelenleg ez a betegség, beteg lesz, minden évben 9 millió ember világszerte, köztük 3 millió meghal a szövődmények.
Kórokozó
A leggyakoribb kórokozó – a tuberkulózis Bacillus – egy baktérium fedezte fel 1882-ben a német mikrobiológus, valamint a Nobel-díjas Robert Koch. Nagyon szívós, tökéletesen ellenáll a korróziós tényezők, nem pedig szétesik, még akkor is, amikor a modern fertőtlenítőszerek.
A tipikus elváltozások fertőzés fény, de megkülönbözteti is tuberkulózis, a bőr, a csontok, a szem, a nyirok -, vizelet -, gyomor -, idegrendszer.
Hogyan tuberkulózis
Fontos megjegyezni, hogy a fő forrásai a TBC-fertőzés fertőzött emberek. Átviteli fordul elő, belélegezve a levegőt szórványos ügynökök. A fő módja, hogy továbbítása a betegség:
- A levegőben a fő útvonal, az adás. Baktérium a levegőbe a részecskék, köpet, nyál, miközben beszél, köhögés vagy tüsszentés beteg nyitott formában (egy formája, amelyben egy kiadás a kórokozók a környezetbe) tuberkulózis;
- Kapcsolat-háztartási – amikor a edények, személyes higiénia elemek, fehérnemű beteg személy;
- Táplálkozási (élelmiszer) – a termékek használata származó fertőzött állatok;
- A méhen belüli a beteg anya, a magzat a terhesség vagy a szülés során.
A fuvarozók a tuberkulózis nem fertőző, egy személy a tuberkulózis fertőzés hiányában a betegség nem tuberkulózis. Amikor egy személy alakul ki, aktív TBC, a tünetek (köhögés, láz, éjszakai izzadás, fogyás, stb.) nyilvánvaló, hogy egy enyhe formában több hónapja.
Tüdőbeteg: első jelei
Vannak bizonyos első jele, amely lehet gyanítom, hogy a fejlesztés, a pulmonális tbc-s felnőttek:
- gyengeség;
- levertség;
- szédülés;
- rossz étvágy, illetve hiánya;
- apátia;
- rossz álom;
- éjszakai izzadás;
- sápadtság;
- fogyás;
- subfebrile a test hőmérsékletét.
Ezek a tünetek jelenléte jelentős oka orvos látogatások, valamint a további vizsgálatok tüdőbeteg. Ha egy személy nem fogadott ezen a ponton, a tünetek csatlakozz a tüneteket, a légúti rendszer:
- köhögés gyakran a váladék;
- légszomj;
- vérköpés – vér csíkok köpet, hogy nagy pulmonalis vérzés;
- mellkasi fájdalom, súlyosbítja a köhögés.
Az utolsó 2 a tünetek jelei bonyolult formája a betegség igényel azonnali kezelés megkezdésekor a tüdőbeteg.
Tuberkulózis: tünetek
A tuberkulózis fontos, hogy ne hagyja az első tünetek, amikor az esélyt, hogy gyógymód a betegség továbbra is magas.
Azonban vannak árnyalatok, mert gyakran tüdőbeteg hosszú időt vesz igénybe, anélkül, hogy észrevehető tünetek, talált véletlenül, például során fluoroszkópia.
A legtöbb formája a pulmonális tbc jellemzi a következő jelek:
- Az emberi állapot — felnőttek korlátozott formája a tuberkulózis panaszkodnak, fáradtság, gyengeség, különösen hangsúlyos a reggel is jellemzi veszteség a hatékonyság.
- Köhögés. A száraz-nedves, markáns köpet termelés. Lehet, hogy zavaros, gennyes. Amikor csatlakozott a vér kerül a “rozsdás”, hogy a szennyeződések a folyadék nem változott (véres köpet).
- Általános nézet:: a betegek fogyni, akár 15 kg vagy több, olyan sovány vagy, az arca sápadt, a funkciók kihegyezett, mert úgy tűnik, hogy még szebb legyen a háttérben, a sápadt bőr látható pír az arcán.
- Légszomj. Csökkenése miatt a légutak felületén a tüdő gyulladás, illetve szklerotizáló (hegesedés).
- A növekedés a test hőmérséklete: korlátozott formában jelentéktelen hőmérséklet-emelkedés (37,5-38 C), de tartós.
- A hőmérséklet emelkedik, este, vagy éjszaka,, megfigyelhető az éjszakai verejtékezés, hidegrázás.
- Mellkasi fájdalom. Csatlakozz a telepített szakaszában a betegség, az átmenet során a tuberkulózis a mellhártya.
Elváltozások más szervek kíséretében jelek, amelyek első pillantásra nem lehet megkülönböztetni a tünetek a másik gyakori betegség, tehát a keret, az anyag, hogy fontolja meg őket, nincs semmi értelme.
A tünetek a gyermekek
A gyermekek TB alakul ki másképp, mint a felnőttek. Ez annak köszönhető, hogy a fejletlen immunrendszer, a gyermek. A betegség előrehaladtával sokkal gyorsabban vezet a szomorú következményei.
Ezeket a jeleket kell figyelmeztetni a szülők:
- köhögés tartós, több, mint 20 nap;
- hosszan tartó láz;
- étvágytalanság;
- fáradtság;
- észrevehető fogyás;
- csökkenti a figyelmet, amely mögött az iskolában;
- a mérgezés jeleit.
Általánosságban elmondható, hogy a tuberkulózis tünetei a gyermek, mint a felnőtt eltartott formája a betegség lokalizációja a fertőző folyamat.
Szövődmények
Kiosztani ilyen következményei tüdőbeteg:
- Légmell – felhalmozási levegő a mellüreget – a környező térben a tüdő.
- Légzési elégtelenség. Abban az esetben, hatalmas gümőkóros tüdőkapacitás hatékonyan működik a tüdő csökkent, ami azt jelenti, hogy csökken a vér oxigén telítettség.
- Szívelégtelenség. Általában kíséri légzési elégtelenség.
- Amyloidosis, a belső szervek.
- Pulmonalis vérzés. Kialakulhat a megsemmisítése a hajó a tüdőben, mint az eredmény gümőkóros gyulladás.
Megelőzés
Hogy megakadályozzák a fejlesztés, a tuberkulózis, hogy időben folyosón megelőző kutatás, először, átvilágítás, illetve azonosítani az egyének aktív formája a betegség, az elszigeteltség.
Védőoltás (BCG) – végzett 5-7-ik nap az élet, elvégzett végzik a gyermekek 7, 12, 17 év, a felnőttek akár 30 évig, akinek a Mantoux teszt negatív vagy kétes eredmény.
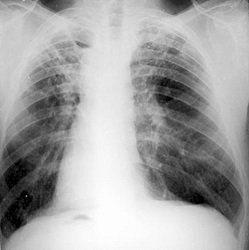
Diagnózis
A számos hatékony diagnosztikai módszerek összpontosított kimutatása TBC fertőzés a következők:
- Egy mellkas röntgen;
- Mantoux Teszt;
- Egy vérvizsgálat tuberkulózis;
- Mellkas röntgen;
- Vetés a gyomormosás, bronchiális nyák süsse ki, majd a bőr elváltozások.
A legtöbb modern módszer – PCR. Ez a DNS diagnosztika, amikor egy mintát venni, a köpet a beteg. Az eredmény megtalálható után 3 nappal, a pontosság – 95-100%.
Kezelés a tuberkulózis
A kezelést követően azonnal el lehet kezdeni a felfedezés, illetve elvégezni, folyamatosan, hosszú ideig.
A támasza kezelés a tuberkulózis – használja a TB gyógyszerek (kemoterápiás). Azonosítsa a fő-illetve a tartalék anti-TB gyógyszerek. Fő – izoniazid, ethambutol, rifampicin, pyrazinamide, sztreptomicin. Biztonsági mentés – capreomycin, protionamide, amikacin, informatív jellegű, cycloserine, PAS, capreomycin mások.
Amellett, hogy a kemoterápiás kezelés a tüdőbeteg a következők:
- megfelelés magas kalóriatartalmú étrend;
- korrekció a vérszegénység, vitaminhiány, a sugárzás;
- a használata a glükokortikoidok a bizonyság;
- resort;
- sebészi kezelés (eltávolítás az érintett viscus vagy annak egy részét, vízelvezető üregek, stb.).
Kezelés, kábítószer-érzékeny TB legalább 6 hónapig, néha még legfeljebb 2 év. Hatékonyságának értékelése a kezelést végzik, havi szerint az eredmények kimutatása a kórokozó, a köpet a beteg. Az elnyomás, a fertőzés kezelés kell végezni rendszeresen, szünetek nélkül, akkor a TB nem lesz képes a haladás.



Kommentek
Kommenteléshez kérlek, jelentkezz be: