
Néha ezek a növedékek (ízületi) oda vezethet, hogy a reaktív irritáció a synovialis membrán, kíséri a fejlesztés reaktív arthritis. Ez okozza, hogy a diagnosztikai hibák között deformáló ízületi gyulladás, ízületi gyulladás kezelésére használják alapvetően eltérő megközelítések.
Az arthrosis gyakori betegség. Szóval, a statisztikák szerint megtalálható 10-15% – ában, illetve annak előfordulása a kor előrehaladtával növekszik. Jelenleg azonban ez a patológia is előfordul fiatal korban.
Az oka a fejlesztési
Miért fejlődő osteoarthritis, a láb, mi ez? Abból a szempontból, hogy az ok-okozati tényezők a betegség kell sorolni az elsődleges, mind a másodlagos osteoarthritis. Amikor az elsődleges változások fejleszteni változatlan porc ezzel szemben a másodlagos.
Most az utolsó tényező, hogy a vezető a fejlődés, ez a betegség nem jön létre. Azonban, válasszon ki egy csoportot a körülmények, amelyek növelik a kialakulásának valószínűségét osteoarthritis a lábát. Ezek a következők:
- fokozott mechanikus stressz, az ízületek;
- csökkent a mikrokeringést a porc;
- anyagcsere-betegségek, amelyek túlzott felhalmozódása a bizonyos vegyi anyagok, a közös, hogy a bosszantó, romboló hatások (pl. felhalmozódott húgysav köszvény);
- patológia, az immunrendszer, amely úgy kezdődik, hogy elpusztítsa a porc;
- egy hosszú séta;
- chondrodystrophic folyamatok;
- az elhízás;
- hypermobility az ízületek;
- terhelt öröklődés, stb.
Az ízületek, a láb a szerepe a hajlamosító tényezők is lehet:
- lapos láb;
- traumás sérülések, a láb;
- szakmai ártalom.
Ortopédiai kezelés attól függ, hogy a súlyos degeneratív-disztróf folyamat, szóval akkor lehet alkalmazni, a következő módszereket:
- rajta a rögzítő kötés;
- a használata ortopéd bot, mankó;
- a műtét.
A tünetek a arthrosis
Minden, az ízületek, a láb osteoarthritis gyakran befolyásolja az első metatarsophalangeal közös. Jellemzői ennek a kóros folyamat, szab a nyomot a klinikai kép, a következő a tünetek az osteoarthritis:
- nagyon gyakran a folyamat kétoldalú;
- fájdalom, hogy a régióban az első talpig;
- korlátozza a mobilitás;
- kényelmetlenséget;
- nehézségek, járás közben;
- deformációja egy közös által elterjedése ízületi;
- valgus eltérése a nagy lábujj, azaz a külső oldalon.
Viselt, szűk, kényelmetlen cipő megteremti a feltételeket a további kár, hogy a közös, ami súlyosbítja a kóros folyamat. Ez az eredmény a következő:
- A progresszió osteoarthrosis;
- Bursitis – gyulladás periarticular táskák.
Diagnózis
Diagnózis deformációja osteoarthritis, a láb elsősorban magában foglalja teljesítő radiológiai vizsgálatok. A fő szempontok, amelyek alapján a diagnózis, vagy:
- csökkenti a méretét a különbség az ízületi felületek;
- a jelenléte a ciszták a csontszövet;
- egyre subchondral csontsűrűség, amely fokozatosan halad;
- hiányos aztán teljes a zavar a fejemben az első csont a szár.
Alapján röntgen vizsgálat is jelzi a szintet deformáló osteoarthrose. Meg kell határozni a további kezelés, valamint meghatározza a jelzések a műtét.
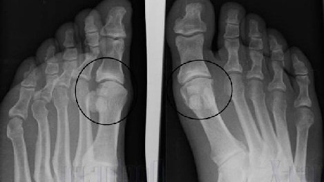
Fotó az arthrosis az x-ray. Szövődmények
Szövődmények alakulhatnak ki, a beállítás osteoarthritis, a láb, nem olyan tragikus, mint abban az esetben, arthrosis a csípőízület. Mivel a betegség progresszióját fokozatosan alakul ki a teljes mozdulatlanság az érintett közös, ami sántaság. A betegek a betegség ritkán fogyatékossá vált, hogy az, hogy ne veszítse el a képességét, hogy öngondoskodás, amelyek megfelelnek a szakmai feladatokat.
Kezelés arthrosis
Kezelés a deformáló arthrosis az ízületek, a láb követi a következő feladatokat látja el:
- Lassul a progresszió, a kóros folyamat;
- A fájdalom csökkentése szindróma;
- A kezelés a fejlett synovitis (bursitis);
- A maximális lehetséges helyreállítása funkció az érintett közös.
Hogy hajtsák végre a feladatokat, módszereket lehet használni, nem csak a konzervatív kezelés, hanem a módszerek ortopéd korrekció. Alatt konzervatív terápia, amely általában kezdődik a kezelés, arthrosis, a gyógyszert a következő farmakológiai csoportok:
- Chondroprotectors, ami fokozza chondroblasts részt a szintézis, a porc, ami hozzájárul ahhoz, hogy a helyreállítás.
- Nem szteroid gyulladáscsökkentő gyógyszerek, amelyek elnyomják a súlyos gyulladásos válasz, ezáltal csökkenti a fájdalmat.
- Súlyosabb esetekben, látható kortikoszteroid (hormonális) gyógyszerek, amelyek erősebb gyulladáscsökkentő hatása.
- Thrombocyta-aggregáció ellenes szerek, amely normalizálja a mikrokeringést a subchondral zóna, amely lassítja, a progresszió, a kóros folyamat.
- Módszerek alkalmazása fizikai terápia, akik egy komplex terápiás hatás a közös.
- Masszázs, terápiás gyakorlat, amely lehetővé teszi, hogy részlegesen helyreállítani a funkció a törött közös, hogy javítsa az állapotát izmok.
Megelőzés
A hatékony megelőzés, amely jelentős mértékben megakadályozza a osteoarthrosis a lábát, most eltűnt.
Szükséges azonban, hogy tartsák be ezeket az ajánlásokat, mint:
- Normalizálás a testsúly, hogy a harc az elhízás;
- A kivétel a sérülések, a láb;
- Viselése kényelmes cipő, a megfelelő méret;
- Időben történő korrekció talpas;
- Korai felismerés bármilyen kóros folyamat, amely veheti a betegség.


Kommentek
Kommenteléshez kérlek, jelentkezz be: